Accuracy
근거로 진단합니다.
정확한 진단을 바탕으로 상태에 맞는 치료를 단계적으로 진행합니다.
과한 치료는 줄이고, 필요한 치료만 정확히 시행하겠습니다.
조아진병원 신경외과 조원진 대표원장입니다.
저희 조아진병원은 이 공간에 머무는 동안 직원과 환자 모두가 몸과 마음의 편안함, 그리고 ‘좋아짐’을 느끼셨으면 하는 바람으로 만들어진 병원입니다.
2025년 10월에 개원한 신생 병원이지만 내과, 신경외과, 정형외과, 마취통증의학과가 함께하며, 각 과 의료진은 풍부한 임상 경험과 전문성을 바탕으로 진료합니다. 진단 결과를 충분히 설명드리고, 상태에 맞춰 치료의 강도와 방법을 단계적으로 조절해 불필요한 치료는 줄이고 꼭 필요한 치료를 적절한 시기에 받으실 수 있도록 돕겠습니다.
환자에게 한 발 더 다가가 마음을 나누며, 하나의 목표인 ‘좋아짐’을 향해 더 가까이 다가가기를 희망합니다. 짧은 진료 시간만으로 끝내지 않고, 궁금하신 점을 충분히 묻고 이해하신 뒤 치료를 선택하실 수 있도록 끝까지 함께하겠습니다.
실력과 인술을 갖추고 척추·관절 건강을 최선을 다해 지키는
좋아져서 기분 좋은 조아진병원이 늘 여러분 곁에서 함께하겠습니다.
조원진 대표원장
아픈 곳만 보지 않고, 불편의 원인부터 차분히 확인합니다.
치료는 상태에 맞춰 단계적으로 안내드리겠습니다.
앉을 때·걸을 때·일할 때까지, 일상이 조금 더 편안해지도록 곁에서 돕겠습니다.
Accuracy
근거로 진단합니다.
Safety
안전을 우선합니다.
Stepwise
단계로 조절합니다.
Comfort
편안함을 지킵니다.
신경 압박 여부를 평가하고, 상태에 맞는 치료 방향을 안내합니다.
목 통증으로 지친 하루를 덜어드리기 위해, 정성을 다해 진료합니다.
목디스크(경추 추간판 탈출증)는 목뼈 사이 디스크가 돌출되면서 신경을 자극해,
목·어깨·팔로 이어지는 통증이나 저림이 나타날 수 있습니다.
증상과 검사 결과에 따라 약물·물리치료·주사치료 등으로 통증 조절을 돕고,
필요한 경우 다음 단계 치료 옵션을 함께 안내합니다.
허리·다리로 번지는 통증의 원인을 확인하고,
치료 옵션을 단계적으로 설명합니다.
앉을 때·걸을 때·일할 때까지, 일상 속 불편이 가벼워지도록 돕겠습니다.
허리디스크(요추 추간판 탈출증)는 허리 디스크가 돌출되면서 신경을 자극해
허리에서 엉덩이, 다리로 통증·저림이 내려갈 수 있습니다.
오래 앉아 있거나 허리를 숙일 때, 기침·재채기처럼 힘이 들어갈 때
다리 증상이 심해지는 경우가 있어 평가가 필요합니다.
걷기 불편, 다리 저림이 반복된다면
상태 평가 후 치료 방향을 안내합니다.
한 걸음, 한 걸음이 덜 아프도록 세심하게 살피겠습니다.
척추관 협착증은 신경이 지나가는 통로가 좁아지면서
허리와 엉덩이, 다리로 통증·저림이 나타날 수 있습니다.
서서 오래 있거나 걸을수록 불편해지고,
허리를 굽히면 잠시 편해지는 양상이 동반되기도 합니다.
수술이 꼭 필요하지 않은
목·허리 통증 환자의 증상과 영상검사를 확인
부담은 줄이고 일상으로의 회복을
돕는 것을 목표로 합니다.
좁아진 신경 통로에 풍선 카테터를 넣어 공간을 넓히고 약물을 주입해,
다리 통증과 저림을 줄이는 최소침습 척추 시술입니다.


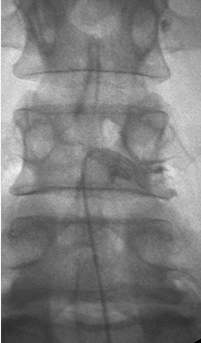
가느다란 카테터를 경막외 공간에 넣어 목(경추)·허리(요추) 신경 주변 유착과 염증을 풀어주고,
통증을 완화하는 최소침습 척추 시술입니다.
허리디스크나 척추관협착증 치료에 사용되는 최소 침습 수술 방법입니다.
피부에 작은 절개(약 7mm)를 통해 내시경과 기구를 넣어 병변을
직접 보면서 디스크만 선택적으로 제거합니다.
목과 팔의 통증을 유발하는, 튀어나온 경추 디스크(목 디스크)를
치료하기 위한 최소 침습 시술입니다. 약물 치료나 물리 치료 같은 보존적 치료에
반응이 없는 환자들에게 고려될 수 있습니다.
무릎·고관절 통증으로 줄어든 활동을, 다시 편안하게
퇴행성 관절염 등으로 통증과 변형이 심한 경우, 상태에 맞춰 치료 방법을 안내합니다.
어깨 통증·파열로 일상 동작이 어려운 경우부터, 관절염으로 통증과 기능 저하가 큰 경우까지 상태에 맞춘 치료를 안내합니다. 보존적 치료(약물·주사·물리치료)부터 관절경 수술, 필요 시 무릎·고관절·어깨 인공관절 전치환술까지 단계적으로 상담합니다.
통증과 기능 저하가 큰 경우, 상태에 맞춘 치료 옵션을 단계적으로 안내합니다.
통증·기능 저하가 큰 어깨에 인공관절을 삽입해 회복을 돕습니다.
상태에 따라 통증 완화를 돕는 비수술 치료 옵션 중 하나입니다.
척추·신경·근골격 통증을 원인에 맞게, 단계적으로.
증상과 검사 결과를 바탕으로, 부담을 줄이고 회복을 돕는 치료를 안내합니다.
목·허리 방사통, 신경통, 두통/안면통증, 근육통 등 일상에 영향을 주는 통증에 대해 원인 감별 후 상태에 맞춘 비수술 중심 치료 계획을 설명합니다.
약물·물리·주사치료부터 시술/수술적 치료까지, 상태에 맞춰 선택지를 설명합니다.
위·대장 내시경부터 국가건강검진까지, 필요한 검사를 한 곳에서
증상 확인과 검진 목적에 맞춰 검사 계획을 안내합니다.
고혈압, 당뇨병, 천식, 심부전증 등 꾸준한 관리가 필요한 만성질환에 대해 상태를 확인하고 진료 방향을 안내합니다.
소화기 증상 및 검진 목적에 따라 내시경 검사를 안내합니다.
마취통증의학과 전문의가 함께하며, 개인 상태 평가 후 진행합니다.
※ 개인별 위험도가 달라 사전 상담/평가가 필요합니다.
대상 여부와 항목은 안내에 따라 확인해드립니다.
정확하게 확인하고, 안전하게 치료합니다.
진단 결과를 바탕으로 치료 강도와 방법을 단계적으로 조절합니다.
친절한 진료, 깨끗한 시설, 최고급 장비로
편안하고 안심되는 공간을 만듭니다.